Zaśniad groniasty należy do ciążowej choroby trofoblastycznej i choć początkowo może przypominać prawidłową ciążę, wymaga szybkiego rozpoznania i leczenia. Dowiedz się, co oznacza taka diagnoza, jak przebiega dalsze postępowanie.
| Z tego artykułu dowiesz się, że: >> zaśniad groniasty to nieprawidłowa forma ciąży należąca do ciążowej choroby trofoblastycznej, >> wyróżnia się postać całkowitą (bez zarodka) i częściową (z możliwą obecnością tkanek płodowych i zmienionego łożyska), >> w zaśniadzie groniastym stężenie beta-hCG jest nieadekwatnie podwyższone względem wieku ciążowego,objawy obejmują krwawienie z dróg rodnych, nudności, wymioty, >> objawy nadczynności tarczycy i nieprawidłowy obraz USG, >> rozpoznanie opiera się na oznaczeniu poziomu beta-hCG, badaniu ultrasonograficznym, i badaniu histopatologicznym, >> leczenie polega na chirurgicznym usunięciu zaśniadu, zazwyczaj poprzez łyżeczkowanie macicy. |
Spis treści:
- Co to jest zaśniad groniasty?
- Rodzaje zaśniadu groniastego
- Przyczyny i czynniki ryzyka zaśniadu groniastego
- Objawy zaśniadu groniastego
- Diagnostyka zaśniadu groniastego – jakie badania wykonać?
- Leczenie i postępowanie w przypadku zaśniadu groniastego
- Zaśniad groniasty: odpowiedzi na najczęstsze pytania (FAQ)
Co to jest zaśniad groniasty?
Zaśniad groniasty (w klasyfikacji ICD-10 oznaczony kodem O01) to niezłośliwy nowotwór łożyska, w którym dochodzi do nadmiernego rozrostu trofoblastu – zewnętrznej warstwy komórek otaczającej wczesny zarodek, odpowiadającej za jego zagnieżdżenie w macicy i tworzący część łożyska. W wyniku błędu podczas zapłodnienia dochodzi do obrzęku kosmków łożyska, które tworzą przypominające winogrona (groniaste) struktury.
Zaśniad groniasty należy do ciążowej choroby trofoblastycznej (GTD, gestational trophoblastic disease). Jest to grupa schorzeń związana z nieprawidłowym rozrostem trofoblastu i wydzielaniem do krwi gonadotropiny kosmówkowej (beta-hCG). Obejmuje ona zarówno postacie łagodne (zaśniad całkowity i częściowy), jak i złośliwe (zaśniad inwazyjny, kosmówczak, guz trofoblastyczny miejsca łożyskowego oraz nabłonkowaty guz trofoblastyczny).
Choć zaśniad groniasty jest zmianą łagodną, u 15–20% pacjentek może przekształcić się w ciążową neoplazję trofoblastu, dlatego kluczowe są wczesne rozpoznanie i regularna kontrola beta-hCG po zakończeniu ciąży.

>> Warto przeczytać: Test ciążowy z krwi. Kiedy i dlaczego przeprowadzić badanie beta hCG?
Rodzaje zaśniadu groniastego
Zaśniad groniasty występuje w dwóch głównych postaciach, różniących się przyczyną powstania, obecnością tkanek płodowych oraz ryzykiem powikłań.
Zaśniad groniasty całkowity
Zaśniad groniasty całkowity powstaje, gdy pusta komórka jajowa (pozbawiona materiału genetycznego matki) zostaje zapłodniona przez jeden plemnik, który następnie duplikuje swoje DNA, lub przez dwa plemniki. W wyniku tego rozwija się diploidalny materiał genetyczny pochodzący wyłącznie od ojca, zazwyczaj o zestawie chromosomów 46,XX, rzadziej 46,XY. Nie tworzy się zarodek, a w jamie macicy obecne są obrzęknięte kosmki łożyskowe.
W obrazie USG brak jest płodu oraz płynu owodniowego, zamiast nich widoczny jest charakterystyczny obraz „burzy śnieżnej”, będącej efektem chaotycznego rozrostu trofoblastu. Typowe jest także znacznie podwyższone stężenie gonadotropiny kosmówkowej (beta-hCG), często kilkakrotnie wyższe niż w prawidłowej ciąży na tym etapie.
Zaśniad całkowity wiąże się z wyższym ryzykiem transformacji w nowotworową postać choroby trofoblastycznej (GTN), dlatego wymaga ścisłego monitorowania.
Zaśniad groniasty częściowy
Zaśniad groniasty częściowy rozwija się, gdy prawidłowa komórka jajowa zostaje zapłodniona przez dwa plemniki, co prowadzi do powstania nieprawidłowego, triploidalnego materiału genetycznego, najczęściej 69,XXY, rzadziej 69,XXX lub 69,XYY.
W zaśniadzie częściowym może rozwinąć się zarodek, jednak jest on zwykle ciężko uszkodzony i niezdolny do rozwoju. W USG często widoczny jest płód z cechami obrzęku, wady rozwojowe lub pęcherzykowate zmiany w obrębie łożyska. Stężenie beta-hCG bywa podwyższone, ale zwykle nie tak znacznie jak w przypadku zaśniadu całkowitego.
Ryzyko przejścia w złośliwą postać choroby trofoblastycznej jest niższe, ale nadal wymaga monitorowania.
Przyczyny i czynniki ryzyka zaśniadu groniastego
Zaśniad groniasty rozwija się na skutek błędów genetycznych podczas zapłodnienia. W postaci całkowitej zapłodniona zostaje pusta komórka jajowa, natomiast w częściowej – prawidłowa komórka jajowa przez dwa plemniki, co skutkuje triploidią.
Ryzyko wystąpienia zaśniadu rośnie u kobiet:
- poniżej 20. i powyżej 40. roku życia,
- palących,
- z przebytą ciążą zaśniadową,
- po poronieniach,
- z niedoborami karotenu lub kwasu foliowego.
Objawy zaśniadu groniastego
Wczesne objawy zaśniadu groniastego mogą przypominać typową ciążę, jednak z czasem stają się bardziej nasilone. Najczęstsze symptomy to:
- nieprawidłowe krwawienie z dróg rodnych, zwykle w I trymestrze,
- nieadekwatny do wieku ciążowego rozmiar macicy (w połowie przypadków zaśniadu całkowitego: większy, w zaśniadzie częściowym: mniejszy)
- brak czynności serca płodu (w zaśniadzie całkowitym),
- podwyższone stężenie beta-hCG (kilkukrotnie wyższe niż w prawidłowej ciąży w zaśniadzie całkowitym, w częściowym zwykle umiarkowanie podwyższone),
- nudności, wymioty, objawy nadczynności tarczycy i stanu przedrzucawkowego przed 20. tygodniem ciąży (częste w zaśniadzie całkowitym, łagodniejsze lub nieobecne w częściowym),
- obecność torbieli tekaluteinowych w badaniu USG (częsta w zaśniadzie całkowitym, rzadka w częściowym),
Objawy mogą być też nieobecne lub skąpe. Czasem zaśniad wykrywany jest przypadkowo podczas rutynowego USG lub w diagnostyce poronienia zatrzymanego.
Diagnostyka zaśniadu groniastego – jakie badania wykonać?
W rozpoznaniu zaśniadu groniastego kluczowe znaczenie mają:
- oznaczenie stężenia beta-hCG: znacznie podwyższony, nieadekwatny do wieku ciążowego poziom (często >100 000 IU/l w zaśniadzie całkowitym),
- badanie ultrasonograficzne (USG przezpochwowe i przezbrzuszne): w zaśniadzie całkowitym typowy jest obraz „burzy śnieżnej”, natomiast w częściowym niekiedy możliwe jest uwidocznienie płodu oraz nieprawidłowo zmienionego łożyska,
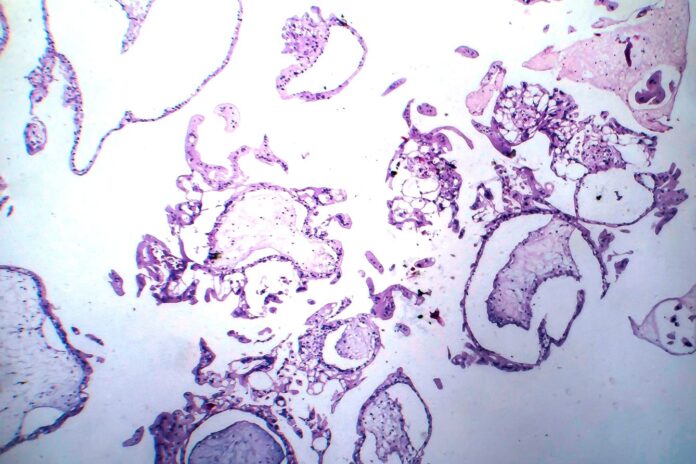
- badanie histopatologiczne materiału po łyżeczkowaniu macicy: potwierdza ostateczne rozpoznanie.
Dodatkowo wykonuje się:
- morfologię krwi, próby wątrobowe i parametry krzepnięcia,
- badanie hormonów tarczycy: w celu wykrycia nadczynności,
- inne badania obrazowe (RTG, TK): w celu wykluczenia przerzutów, jeśli istnieje podejrzenie rozwoju złośliwej choroby trofoblastycznej.
Ważne jest także oznaczenie grupy krwi i poziomu przeciwciał anty-D u kobiet Rh-ujemnych, ponieważ zabieg usunięcia zaśniadu traktuje się jak poronienie i może wymagać profilaktyki konfliktu serologicznego.
Leczenie i postępowanie w przypadku zaśniadu groniastego
Leczeniem pierwszego wyboru jest łyżeczkowanie jamy macicy pod kontrolą USG, które pozwala usunąć nieprawidłową tkankę trofoblastyczną.
Po zabiegu konieczne jest monitorowanie stężenia beta-hCG: początkowo co tydzień, a po normalizacji poziomu co miesiąc. W tym czasie pacjentce zaleca się odroczenie ciąży na okres co najmniej 6 miesięcy, aby umożliwić wczesne wykrycie ewentualnego nawrotu.
Utrzymujące się lub rosnące stężenie beta-hCG może świadczyć o przekształceniu w ciążową neoplazję trofoblastu (GTN). Wówczas wdraża się leczenie onkologiczne, najczęściej chemioterapię. Rokowanie jest bardzo dobre: całkowite wyleczenie możliwe jest u ponad 98% pacjentek, często bez utraty płodności.
Zaśniad groniasty: odpowiedzi na najczęstsze pytania (FAQ)
Zazwyczaj kilkadziesiąt razy wyższe niż typowo dla danego wieku ciążowego. W zaśniadzie całkowitym może przekraczać 100 000 mIU/ml.
Zaleca się odczekanie minimum 6 miesięcy od uzyskania nieoznaczalnego poziomu beta-hCG. Daje to czas na wykluczenie ewentualnej transformacji złośliwej oraz regenerację endometrium.
Nie, zaśniad groniasty (całkowity i częściowy) jest zmianą niezłośliwą. Jednak w części przypadków (ok. 15–20%) może dojść do jego przekształcenia w nowotwór, ciążową neoplazję trofoblastu, wymagającą leczenia onkologicznego.
Bibliografia
- Ciążowa choroba trofoblastyczna. Aktualne zasady diagnostyki i postępowania. Medycyna Praktyczna – Ginekologia [online] https://www.mp.pl/ginekologia/wytyczne/inne/277586,ciazowa-choroba-trofoblastyczna-aktualne-zasady-diagnostyki-ipostepowania Dostęp: 6 listopada 2025.
- Berkowitz RS, Horowitz NS, Elias KM. Hydatidiform mole: Epidemiology, clinical features, and diagnosis. Literature review current through: Oct 2025. UpToDate. W: Post TW, red. UpToDate. Waltham, MA: UpToDate Inc.
- Ismail MP, Narayanan D, Nik Mahmood NMZ, Wan Adnan WF, Mohamad Zon E. Gestational trophoblastic disease: a ten-year review. Current Gynecologic Oncology. 2019;17(3):111–117. doi:10.15557/CGO.2019.0013
- Lurain JR. Gestational trophoblastic disease I: Epidemiology, pathology, clinical presentation and diagnosis of gestational trophoblastic disease, and management of hydatidiform mole. American Journal of Obstetrics & Gynecology. 2010;203(6):531–539.

